Son Dakika


ABD’deki Standford Üniversitesi’nden Patoloji Profesörü Garry Nolan, UFO’larla karşılaştığını söyleyen savaş pilotlarının beyinlerini CIA’in isteği üzerine incelediğini açıkladı.
Patoloji Profesörü Garry Nolan, son 10 yılını ABD yönetiminin artık Tanımlanamayan Hava Olayı (UAP) diye nitelediği bu gizemli cisimlerle ilişkili olduğu öne sürülen materyalleri analiz ederek geçirdi.
Bu analizler arasında UFO görüntülerini yayımlayarak gündeme oturan ABD’li savaş pilotlarının beyin taramaları da yer alıyordu.
VICE’a konuşan Nolan, “Bir sorun olduğunu görmeniz için tıp doktoru olmanıza gerek yoktu” dedi:
“Bazılarının beyinleri korkunç, korkunç derecede hasar görmüştü. Beni işe dahil eden şey de buydu.”
Nolan bu çalışmaları sırasında çoğu “ordu veya hükümet mensuplarından ya da havacılık endüstrisinde çalışan kişilerden” oluşan yaklaşık 100 hastanın verilerini analiz etti.
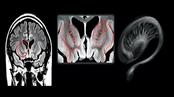
Muhabir Thobey Champion’ın isteği üzerine bu kişilerin MR görüntülerini tarif eden profesör, “Multipl skleroz hastası birinin MR’ına baktıysanız, beyaz cevher hastalığı denen bir şey görürsünüz. Yara izi vardır” ifadelerini kullandı:
MR boyunca dağılmış büyük beyaz bir leke veya birden fazla beyaz leke görürsünüz. Bu aslında bağışıklık sisteminin beyne saldırdığı ölü dokudur. Pilotların beyin görüntülerine en yakın durum buydu. Bir şeylerin yanlış olduğunu hızla görebilirsiniz.
Nolan şimdiye dek 300’den fazla araştırma makalesi yayımladı ve ABD yasaları uyarınca 40 patente sahip. Üstelik bu inceleme profesörün UFO’larla ilk ilişkisi değil.
Patoloji profesörü, 2017’de uzaylı bir bebeğe ait olduğu iddia edilen bir iskeleti analiz etmiş ve bunun bir insan iskeleti olduğunu ortaya çıkarmıştı.
Şili’deki Atacama Çölü’nde bulunan iskelet üzerindeki çalışmalarıyla CIA’in dikkatini çeken profesör, kendisine 10 ya da 12 metal parçasının da inceletildiğini ifade etti.
Bazı örneklerin insan yapımı malzemelerin “kurallarına göre oynamadığını” söyleyen Nolan, şöyle ekledi:
Bu, masanın üzerinde havada uçtukları anlamına gelmiyor. Sadece izotop oranlarının değişimiyle ilgili.
UFO’LAR ABD GÜNDEMİNDE
ABD Savunma Bakanlığı (Pentagon) 25 Haziran 2021’de ABD yönetimine bir UFO raporu sunmuştu.
Dokuz sayfalık bu rapor, bilim insanlarını yeterince tatmin etmese de uzun yıllar boyunca UFO’ların varlığını inkar eden ABD’nin artık bu gizemli fenomeni resmen tanıdığı anlamına geldi.
Pentagon ayrıca 2020’de Tanımlanamayan Hava Olguları Görev Gücü adlı araştırma birimi kurduklarını duyurmuştu.
24 Kasım’da ise “Hava Cisimlerinin Tanımlanması ve Yönetiminin Senkronizasyonu Grubu” adında yeni bir birimin kurulduğu açıklandı.
BENZER HABERLER